A recent investigation has purported to uncover evidence that Pfizer and BioNTech engaged in fraud by fabricating critical COVID-19 vaccine data.
By Sonia Elija via TrialSiteNews
Evidence has emerged casting serious doubt over the authenticity of tests carried out by BioNTech (Marketing Authorisation Holder) and Pfizer to prove the fidelity of their product by demonstrating that only the spike protein of SARS-CoV-2 is expressed in cells by the nucleoside-modified mRNA Pfizer-BioNTech Covid-19 vaccine (BNT162b2).
Several Western Blot tests were conducted to evaluate the protein expression of the mRNA in HEK cells transfected with the vaccine taken from different lots. Using this technique, the expressed proteins showed up as highly unusual looking ‘bands.’
Certain independent scientific experts have described these Western blots as the “smoking gun” evidence (particularly the “duplication” of the results) which suggest that BioNTech and Pfizer falsified key data as part of their submissions to the European Medicines Agency and the US Food and Drug Administration for securing emergency use authorisation (conditional) and later marketing authorisation approval of their product.
The bombshell evidence was dropped without so much as a ripple in the sea of brewing scandals washing up on the shores of the behemoth pharmaceutical company and its partner, BioNTech. However, some in the scientific community have taken notice and written about this scandal, known on social media as #Blotgate.
The fact there could be actual evidence to prove that Pfizer and BioNTech engaged in fraud by fabricating critical data would have major ramifications. For instance, their indemnity status (protection from any legal liability resulting from deaths or injuries caused by their product) which was written into their purchasing contracts and signed by many countries, would cease to apply.
The fraudulent-looking data provided by BioNTech/Pfizer with regards to the quality of their novel mRNA vaccine also raises other salient questions:
- How did the “copy and paste” data sail through the radar of the regulators?
- How did the Journal of Pharmaceutical Sciences publish the same fraudulent looking data presented in a Pfizer-funded paper, written by Pfizer and BioNTech’s employees (Patel et al.)?
- What proteins are being expressed in human cells from the vaccinal modified mRNA, other than the SARS-CoV-2 spike protein?
- Why has no genomic sequence of the expressed protein of the mRNA vaccine ever been published?
The leaked EMA emails & other confidential documents
Last June, Trial Site News broke the scandal of the leaked European Medicines Agency emails and confidential Pfizer/BioNTech related documents, with an in-depth analysis and a follow up report.
Damning details in both reports exposed how key regulators such as the EMA, FDA, Health Canada and the MHRA were fully aware of the significant drop in RNA integrity (which is a critical quality attribute) to ~55% in the commercial batches (Process 2: large scale production) of the Pfizer-BioNTech Covid-19 vaccine compared to ~78% in the clinical batches (Process 1: small scale production).
The RNA integrity level is a measure of how intact the modified mRNA molecules are in the vaccine. The explanation of what an intact mRNA molecule is comprised of, can be extracted from the following Patel et al paper, written by Pfizer and BioNTech researchers.
‘The 5’-cap, 3’-poly-adenylation tract (poly(A) tail), and an integral mRNA transcript of the target antigen sequence are critical quality attributes for the mRNA component in the COVID-19 vaccines. These features ensure transcript stability and translational efficiency to produce the intended antigen protein.’
The lower the integrity level, indicates a higher amount of fragmented or truncated (not intact by missing either a 5’-cap or a poly A tail) mRNA species present in the batches. From the leaked documents, we know that fragmented species were classified as “product-related impurities” by the regulators.
A document from a pivotal meeting of November 26, 2020, between the regulator (EMA) and Pfizer/BioNTech revealed the alarming fact that this “major objection” was “solved” by simply lowering the standard down to 50% even when Pfizer claimed, “The efficacy of the drug product is dependent on the expression of the delivered RNA, which requires a sufficiently intact RNA molecule.” Furthermore, the level set was significantly lower than the minimum threshold of 70% that Acuitas Therapeutics had stipulated.
This lowering of the standard to allow up to half of the modified mRNA in the vaccines to be fragmented or truncated was done against the backdrop of another alarming concern arising from these impurities: ‘the possibility of translated proteins other than intended spike protein (S1S2) resulted from truncated and/or modified mRNA species should be addressed.’ (taken from screenshot below)
The impact on safety and efficacy of the vaccine resulting from the ‘possibility of translated proteins other than the intended spike protein’ was completely unknown to the regulators and the manufacturers.
Furthermore, the leaked EMA rolling review report from November 2020, disclosed how the applicant [BioNTech] had failed to adequately characterise the protein expressed by the vaccinal modified mRNA.
‘A severe deficiency of the characterisation section is that no biological characterisation is presented and that the mode of action is not described. This is not found acceptable and the dossier should be updated with relevant information. Even though full biological characterisation is not possible to perform on DS (drug substance i.e. the modRNA), the strategy to determine potency and relevant functional assay(s) should be described in section 3.2.S.3…..Furthermore, it is observed that in the Development History and Comparability section (3.2.S.2.6), the expressed protein size is evaluated by in vitro expression followed by Western blot. Results obtained by this method could be regarded as biological characterisation and should be included in section 3.2.S.3. The method needs further description and the results should be sufficiently characterized.’
Source: Rappaport Rolling Review Report Overview LoQ-COVID-19 mRNA Vaccine BioNTech.
The Western Blot data, submitted by the Marketing Authorization Holder [BioNTech] was in response to the regulator’s request which became a specific obligation that needed to be met to secure marketing authorization approval.
‘It is likely that the fragmented species will not result in expressed proteins, due to their expected poor stability and poor translational efficiency (see below).
However, the lack of experimental data on the truncated RNA and expressed proteins does not permit a definitive conclusion and needs further characterisation. Therefore, additional characterisation data remain to be provided as a specific obligation (SO1).’
Source: Extract from the European Medicines Agency (EMA) European Public Assessment Report (EPAR) for the BioNTech/Pfizer vaccine
The data provided by the MAH to meet this specific obligation is at the centre of this investigative report.
A western blot is a technique used to identify and separate specific proteins from a mixture of proteins extracted from cells, based on their molecular weights (measured in kDa= kilo Daltons), through gel electrophoresis.
It can be said that a limitation of this technique is that it only tests for the proteins of interest which are specific to the type of antibodies used in the experiment. In this case, only the SI and S2 antibodies (specific to the S1S2 spike protein) were used in the experiments. Therefore, only S1S2 spike protein would have been found, since it was the only protein they (Pfizer/BioNTech) were looking for. So, even if other novel proteins were present (perhaps expressed aberrant proteins from the truncated mRNA species), they would have gone undetected by using this type of test.
The problem with Pfizer/BioNTech’s ‘Western Blots’
They do not appear to be Western blots at all, even though they were claimed as such by Pfizer/BioNTech and readily accepted by the regulators and published- no questions asked, by the Journal of Pharmaceutical Sciences.
This is what a conventional Western Blot looks like:
Each lane or column shows what is produced (and able to be bound by the selected antibodies) in an experiment. In image A, the ‘D12 cont.’ lane produces three proteins, one around 40 kDa being present the most (darkest band), the one around 30 kDa present less (lighter) and one around 27 kDa least present (very light band). Note that each well is irregular, and all horizontal rows have an “arc” shape to it. These are typical to the physics of heating and shrinking of gels.
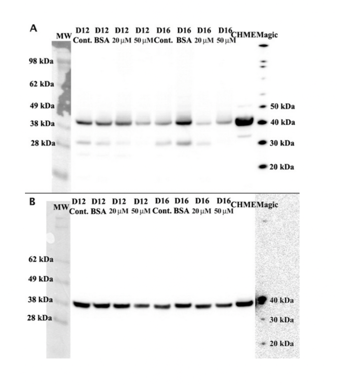
This is what BioNTech/Pfizer submitted as Western blots to the FDA in response to their queries around November 2020.
Notice the perfectly square bands and perfectly horizontal rows, with no smears whatsoever from these Western blots.
A PhD chemist from Hong Kong with mRNA research experience (who wishes to remain anonymous) provided me with the following material which strongly suggest Pfizer/BioNTech’s Western blots were fabricated (copy and pasted). Similar evidence by the same chemist was also presented in a blog by another anonymous expert known as ‘A Midwestern Doctor.’
Below, is a zoomed-in image of a row of the protein ‘bands’. Notice the perfect row of pixels. Authentic western blots would never look like this.
The devil is in the details
This expert was able to quantify the bands using an image analysis software, the NIH-sponsored, open-source ImageJ and plotted them in graphs shown below. The vertical axis measures the darkness of the band, in a scale from 0 (black) – 255 (white) and the horizontal axis plots the position.
Note the plot profiles (shown below the Western blots) representing the two different proteins (2 rows of bands). The bands are colour-coded and identified by a letter. Where you see the same lettered and coloured band repeated, demonstrates where these band or bands have been copied and pasted, either as a group or individually.
These bands were from four different batches of the vaccine. Given the variability between the batches, documented in my previous reports, it’s astounding that we can see this type of duplication across the batches. These “copied and pasted” bands would never exist with authentically done Western blots across four different batches, each transfected at six different concentrations, for which each experiment resulted in two different proteins. You can view a video here, which visually shows how these peaks have been perfectly copied and pasted.
The plot profiles of authentic western blots look like this:
The unusual looking Western blots accepted by the EMA
The following screenshot is taken from a redacted assessment report from the EMA around July 2021, many months after the MAH’s submissions to the FDA. It’s worth noting the Western blot shown here, is a printed copy that was scanned and submitted to the regulator by the MAH. It’s shocking that the EMA would have accepted a Western looking like this. Notice, the very thick and regular shaped bands, which are highly unusual.
The counter argument
A counter argument is that the Pfizer/BioNTech western blots were not done manually but were automated. This is where the protein samples are loaded into a microplate, the samples are electrophoresed in capillaries and digital simulations of the results are then provided. A comparison of automated westerns to a conventional one can be seen below.
Panel A is a conventional Western blot, whereas panels B and C show automated Westerns, in duplicates: lanes 1=2, 3=4, 5=6 with respect to identity and concentration of what was analysed. Nonetheless, the bands simulated from these results are slightly different in terms of both intensities (relating to concentration) and position. An expansion of panel C shows this.
(Panel C expanded)
Therefore, the claim that Pfizer/BioNTech westerns were automated ones, is unlikely to be accurate.
Furthermore, the language used in all three documents where these blots appeared, used the same terminology (gels, wells, Westerns) when doing manual experimental work of conventional Westerns. You would also not find duplication of the bands (in position and peak depth) which was present in the western blots supplied by the MAH. The fact that a normal looking Western blot was presented in the MAH’s submissions adds to the baffling nature of this entire scandal. It proved they were capable of doing it. (Image below shows a normal looking Western blot provided by the vaccine manufacturer.) I will discuss the significance of Figure 8 and its anomalies in part 2 of my report.
According to the regulator (the EMA) this specific obligation (SO1) of providing characterisation of the active substance (modified mRNA) and finished product (modified mRNA encapsulated by lipid nanoparticles) was “fulfilled” with no further questions asked and “deleted from the list of specific obligations.” The screenshot below is taken from a publicly available EMA document.
Another anonymous scientific expert, known as Jikkyleaks commented on the BioNTech/Pfizer Western blot scandal, stating: “They [automated WB] are never used as a definitive experiment in a lab situation. They are merely computer representations of electropherograms and not Westerns. So even if they are not fake, they are not a verification of any experiment. It’s like putting out a photo of a Picasso and saying that is proof that you have the original Picasso. Who would believe that?”
Well, the regulators obviously did.
A week before this report was published, a right of reply was extended to the FDA, EMA, BioNTech, Pfizer and the Journal of Pharmaceutical Sciences to respond to the serious nature of these allegations of fraud but no response was received. An FDA representative did respond saying they would look into the matter but no further contact was ever made.
In Part 2, I investigate the scandal known as #Humpgate, taking a further look at the truncated mRNA species; the aberrant proteins (shortened peptides- not the full-length spike protein) being expressed in vitro because of them; the probable causes and the wider implications of all of this concerning the safety of the Pfizer/BioNTech vaccine.



